ホワイトニングとオールセラミック治療
-
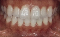
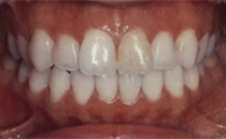
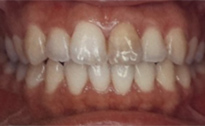
全体的に黄色く神経を抜いた歯が
一本茶色く変色 -
ホワイトニングをしても、
神経を抜いた歯は白くなりません -
ホワイトニング出来なかった歯を
オールセラミックで治療
歯を真っ白にするのは簡単ですが、当院では右の図のように自然な白さの歯にすることを得意とし、治療の技術だけではなく、お客様が満足いただけるように自然で綺麗に仕上げることができます。
ホワイトニングやセラミックをすると、何十万と高い費用が掛かるのでは?と心配な方もいらっしゃると思いますが、数万で終わるケースも多く、ホワイトニングやセラミック治療をする歯の数などは相談しながら進めていきますので、まずはご相談ください。
新しい入れ歯
従来の入れ歯が、図の1のように金属で固定するため、不快感があったり、嚙み合わせが上手くいかない方もいらっしゃるかと思います。
新しい入れ歯では、歯茎にフィットする素材を使い、装着します。金属に固定するのに比べ、違和感が少ないです。また取り外しやお手入れも従来に比べ簡単です。
模型を見てもらいながら、ご納得のいくよう治療させていただきます。
診療内容
一般歯科
歯がしみる・痛い・詰め物が取れた
大切な歯を守るために、虫歯治療における各歯に適したつめ物の選択はもとより、歯肉炎などの原因となる歯垢を除去するプラークコントロール、トリートメントプランや正しい歯磨き指導など、予防に重点をおいた歯科治療にも力を注いでいます。
個々の患者様に合った口腔全体の総合管理を行います。
審美歯科
詰め物やかぶせ物が気になる
審美歯科とは、「美しさ」と「機能」に焦点を当てた、総合的な歯科医療のことです。
昔入れた銀歯が気になる方や、どうせ治療するなら白い歯を入れたい。そんな方にお勧めなのが審美歯科です!
ホワイトニング
歯の色が気になる
やっぱり黄ばみのある歯よりも白い歯の方が美しいですよね。ケイ デンタル オフィスでは長年の生活習慣や加齢による歯の黄ばみを取り除き、美しい歯を手に入れたいという方のために、オフィスホワイトニングやホームホワイトニングなど、患者様に合わせたホワイトニングのプランをご用意しています。
インプラント
歯がなくて困っている
失われた歯の部位に人工的な歯根を埋め込むことによって、もとのように美しい歯を取り戻すことができる治療です。多数の歯を失った症例にも、一本だけの修復にも応用できます。インプラント治療により、楽しく、おいしい食事ができるばかりではなく、美しく健康的な口元を作り、笑顔あふれる生活をめざしています。
口臭治療
口臭が気になる
ケイ・デンタルオフィスでは口臭治療に力をいれております。口臭には患者様ごとに様々な原因があります。表面的な清掃を行うケアでなく、原因を根本的に取り除くことで口臭の改善をお手伝いさせていただきます。口内の見える箇所はもちろん、患者様の目にも届かない細部まで徹底して抜本的な治療を行いますのでこれまでの口臭治療で解決しなかった多くのお客様にご満足いただいております。
是非、これまでの治療と結果を比べてみてください。
当院では痛みの少ない電動麻酔注射器を導入しています
(歯科用電動注射器 カートリーエース・プロ)
-
電動を用いることで、安定的に、低速度で、少しずつ麻酔薬を注入することが可能になります。
-
麻酔の効果が安定し、患者様が感じる痛みが軽減されます。
(麻酔を打ち終わったことに気がつかない患者様もいるくらいです。) -
症状、必要に応じて麻酔を用いる際にもご負担がないよう、手厚くケアさせていただきます。






